Merritt Island Titusville

Before and After

Incredible results and inspiring journeys; see some of our patients’ before and after photos the next time you visit our practice.


Crowding


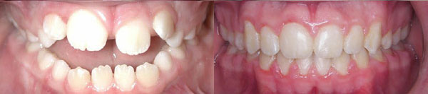
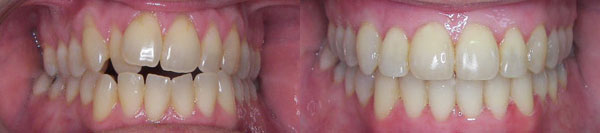
Spacing


Open Bite

Teeth do not overlap in the front


Expansion


Flaring

Protusive front teeth


Deep Bite

Too much overlap of front teeth


Under Bite


Adult


Cuspid Substitution

Replacing cuspids for missing lateral incisors